模态框(Modal)标题

在这里添加一些文本

模态框(Modal)标题

在这里添加一些文本
中华肾脏病杂志
RSS Email Alert
本刊微信公众号
中华肾脏病杂志
  • 首页
  • 期刊介绍
  • 编委会
  • 期刊浏览
    • 最新录用
    • 优先发表
    • 当期目录
    • 过刊浏览
    • 下载排行
    • 阅读排行
    • 引用排行
    • 专题文章
  • 期刊订阅
  • 作者中心
    • 我要投稿
    • 稿约
    • 稿件写作注意事项
    • 论文模板
    • 投稿指引
    • 出版政策
    • 相关伦理
    • 政策说明
  • 广告合作
  • 联系我们
  • English

图/表 详细信息

抗肾小球基底膜肾炎合并抗中性粒细胞胞质抗体相关性血管炎和IgA肾病1例
罗丽花, 杨榆娟, 张治平, 马继孔, 张华英
中华肾脏病杂志, 2024, 40(5): 396-399.   DOI: 10.3760/cma.j.cn441217-20230712-00707

图2 患者住院期间治疗方案及指标变化 注:2022年10月9日、10月13日至10月25日、10月29日至11月8日使用甲泼尼龙琥珀酸钠40 mg ivgtt+醋酸泼尼松10 mg po qd
本文的其它图/表
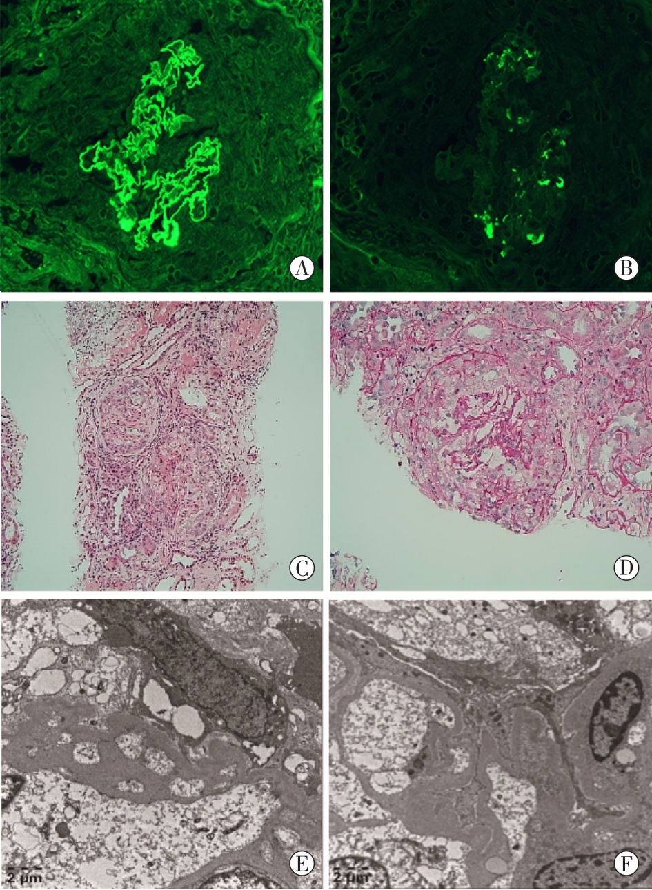
  • 图1 患者肾脏病理 注:A:IgG弥漫、球性沿毛细血管袢呈类线状沉积(免疫荧光 ×400);B:IgA弥漫、球性系膜区呈逗点状沉积(免疫荧光 ×400);C:可见多个新月体(HE ×100);D:细胞新月体(PAS ×400);E、F:肾小球基底膜无明显增厚,足突融合,基底膜内偶见电子致密物沉积(电镜 ×8 000)
  • 图3 抗肾小球基底膜抗体及抗髓过氧化物酶抗体变化情况

版权所有©《中华肾脏病杂志》编辑部 中华医学会杂志社 中山大学附属第一医院(广州)期刊有限责任公司

地址:广州市越秀区竹丝岗二马路5号之—龙珠大厦2层(510080) 电话:(020)87331532 邮箱:cmaszb@mail.sysu.edu.cn

本系统由北京玛格泰克科技发展有限公司设计开发 技术支持:support@magtech.com.cn

粤ICP备10090623号