模态框(Modal)标题

在这里添加一些文本

模态框(Modal)标题

在这里添加一些文本
中华肾脏病杂志
RSS Email Alert
本刊微信公众号
中华肾脏病杂志
  • 首页
  • 期刊介绍
  • 编委会
  • 期刊浏览
    • 最新录用
    • 优先发表
    • 当期目录
    • 过刊浏览
    • 下载排行
    • 阅读排行
    • 引用排行
    • 专题文章
  • 期刊订阅
  • 作者中心
    • 我要投稿
    • 稿约
    • 稿件写作注意事项
    • 论文模板
    • 投稿指引
    • 出版政策
    • 相关伦理
    • 政策说明
  • 广告合作
  • 联系我们
  • English

图/表 详细信息

以重度贫血、顽固性低白蛋白血症和高凝状态为临床特征的原发性高草酸尿症1例
李作林, 王彬, 杨艳, 刘玉秋, 倪海锋, 谢筱彤, 杨钧岚, 张晓良
中华肾脏病杂志, 2024, 40(4): 305-309.   DOI: 10.3760/cma.j.cn441217-20230629-00650

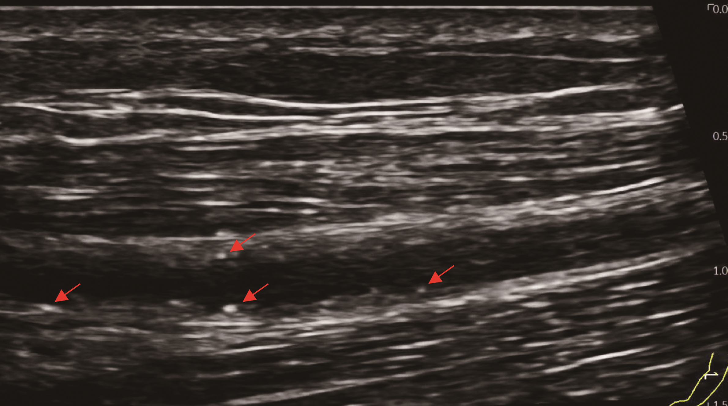
图1 患者动静脉内瘘血管内膜点状钙化斑形成(血管彩超)
本文的其它图/表
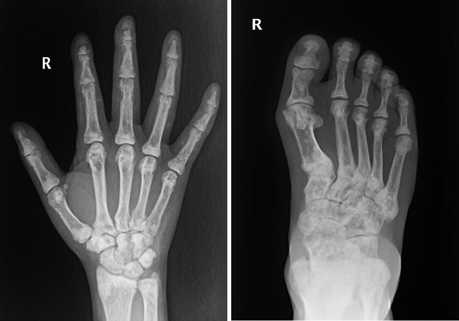
  • 图2 患者手足X线检查 注:患者双手和双足骨质密度不均匀增高,双手部分远节指骨骨质吸收
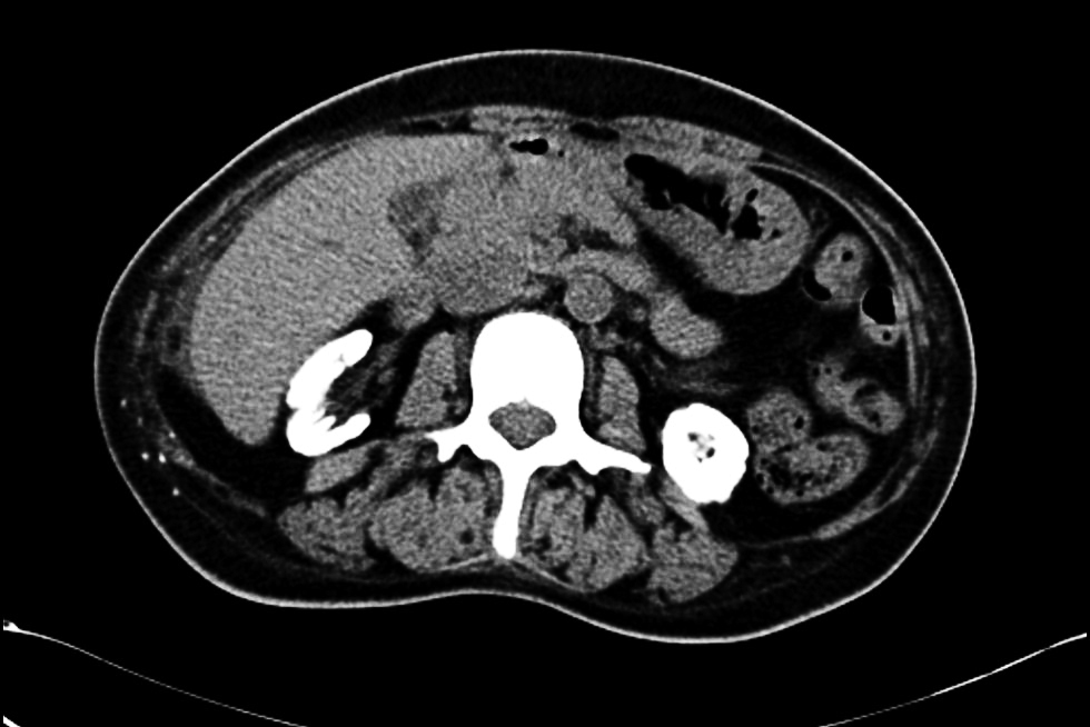
  • 图3 患者双肾萎缩钙化及全身广泛骨质密度增高(腹部CT平扫)
  • 图4 患者骨髓病理检查结果 注:A:骨髓部分组织伴纤维组织增生,骨髓小梁结构紊乱伴髓腔变形,部分小梁硬化,髓腔内见多量结晶样物沉积(PAS染色 ×200);B:偏振光镜下可见大量双折光晶体物质沉积(×200)
  • 图5 患者治疗前后疼痛评分、血红蛋白、血清白蛋白和D-二聚体水平

版权所有©《中华肾脏病杂志》编辑部 中华医学会杂志社 中山大学附属第一医院(广州)期刊有限责任公司

地址:广州市越秀区竹丝岗二马路5号之—龙珠大厦2层(510080) 电话:(020)87331532 邮箱:cmaszb@mail.sysu.edu.cn

本系统由北京玛格泰克科技发展有限公司设计开发 技术支持:support@magtech.com.cn

粤ICP备10090623号