模态框(Modal)标题

在这里添加一些文本

模态框(Modal)标题

在这里添加一些文本
中华肾脏病杂志
RSS Email Alert
本刊微信公众号
中华肾脏病杂志
  • 首页
  • 期刊介绍
  • 编委会
  • 期刊浏览
    • 最新录用
    • 优先发表
    • 当期目录
    • 过刊浏览
    • 下载排行
    • 阅读排行
    • 引用排行
    • 专题文章
  • 期刊订阅
  • 作者中心
    • 我要投稿
    • 稿约
    • 稿件写作注意事项
    • 论文模板
    • 投稿指引
    • 出版政策
    • 相关伦理
    • 政策说明
  • 广告合作
  • 联系我们
  • English

图/表 详细信息

国内首例人弃肾长时间体外常温机械灌注经验探索
黄炀, 余双进, 陈海威, 吴国彬, 戚芳泽, 刘彦含, 杨雨滢, 陈彤, 阮和欢, 张涛, 陈宏珲, 陈传宝, 赵强, 郭志勇, 陈国栋, 邱江, 何晓顺
中华肾脏病杂志, 2022, 38(4): 329-335.   DOI: 10.3760/cma.j.cn441217-20210517-00047

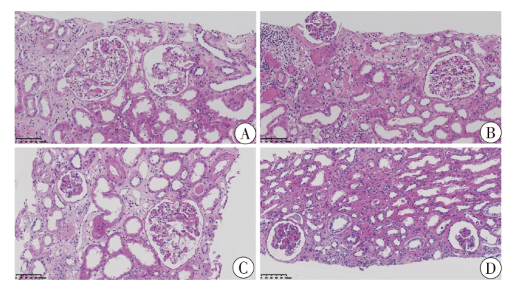
图5 常温机械灌注过程中肾组织病理的动态变化(HE ×200) 注:A:肾脏灌注前零点穿刺的肾组织病理;B:灌注第4小时肾组织病理;C:灌注第6小时肾组织病理;D:灌注第9小时肾组织病理
本文的其它图/表
  • 图1 常温机械灌注前后肾脏外观的变化 注:A:肾脏在冷灌注和静态冷储存后外观呈现陶土色;B:在常温机械灌注1 h后,肾脏外观呈现粉红色;C:在常温机械灌注6 h后,肾脏外感呈现暗红色
  • 图2 体外常温机械灌注过程中肾动脉压和流量的变化 注:A:灌注过程中肾动脉压的变化情况;B:灌注过程中肾平均血流量的变化情况;1 mmHg=0.133 kPa
  • 图3 体外常温机械灌注过程中动脉血气的变化 注:A:PO2和PCO2的变化情况;B:pH的变化情况;C:血K+的变化情况;D:血糖的变化情况;E:乳酸的变化情况
  • 图4 体外常温机械灌注过程中尿量和尿生化的变化 注:A:尿量的变化情况;B:尿K+的变化情况
  • 表1 体外常温机械灌注过程中尿液分析结果的变化情况

版权所有©《中华肾脏病杂志》编辑部 中华医学会杂志社 中山大学附属第一医院(广州)期刊有限责任公司

地址:广州市越秀区竹丝岗二马路5号之—龙珠大厦2层(510080) 电话:(020)87331532 邮箱:cmaszb@mail.sysu.edu.cn

本系统由北京玛格泰克科技发展有限公司设计开发 技术支持:support@magtech.com.cn

粤ICP备10090623号